2020年胰腺癌治疗,胰腺癌靶向治疗,胰腺癌免疫治疗突破一览
胰腺癌五年生存率
胰腺癌是最致命的癌症之一。根据PanCAN(美国胰腺癌专业网站)公布的数据,胰腺癌预计2020年将成为继肺癌发病的第二大癌症。整体五年生存率仅为9.3%。

整体五年生存率

胰腺癌各阶段五年生存率
近年来,基因检测作为精准治疗的基础,在肺癌、乳腺癌的治疗中已取得了重大成效,在胰腺癌中的应用也出现了曙光。
胰腺癌靶向治疗应检测的靶点更新
在2020年发布的《 NCCN遗传/家族高危评估指南:乳腺癌,卵巢癌和胰腺癌》中的更新信息显示,除了KRAS、CDKN2A、TP53和SMAD4这四个最为常见的突变。有证据表明有足够多的胰腺癌患者携带高渗透性乳腺癌和卵巢癌易感基因突变,因此,以下基因也是值得检测的,包括BRCA1,BRCA2,CDH1,PALB2,PTEN和TP53等。此外,一部分基因如hENT、SPARC、PDX1,BRAF、dMMR、Her-2也被证实在胰腺癌的治疗中发挥着重要作用。
指南建议所有胰腺癌患者均应接受基因检测,因为近两年胰腺癌的靶向治疗取得了突破性的进展,这些检测的结果可以帮助确定最有效的治疗方法(例如PARP抑制剂),以及是否有机会参与新药的临床研究。
胰腺癌靶向免疫治疗进展盘点
01、BRAC突变:POLO研究-开启晚期胰腺癌治疗新纪元
全球著名的POLO研究开创了胰腺癌精准诊疗新时代,做到了两个第一
一是开创了胰腺癌分子标志物指导下的临床试验研究方式;
二是开创了胰腺癌维持治疗的Ⅲ期临床研究时代,POLO研究推动了胰腺癌基因检测的发展,NCCN2019指南推荐进行检测。
结果显示:奥拉帕利相比安慰剂显著延长了患者的无进展生存期(7.4 vs 3.8个月),使疾病进展和死亡风险降低了47%。其中:1年无进展生存率显著高于安慰剂组(34% vs 15%),2年无进展生存率显著高于安慰剂组(22.1% vs 9.6%),另外,奥拉帕尼组的客观缓解率(ORR)为23.1%,而安慰剂组仅为11.5%,其中两名接受奥拉帕尼治疗的患者完全缓解。奥拉帕尼组的平均反应持续时间为24.9个月,而安慰剂组仅为3.7个月。

2019年12月17日,美国食品和药物管理局(FDA)肿瘤药物顾问委员会(ODAC)举办听证会,基于POLO试验结果,以7票对5票的投票结果,建议批准靶向抗癌药Lynparza(中文品牌名:利普卓,通用名:olaparib,奥拉帕利),作为一线维持单药疗法,治疗接受一线铂类化疗至少16周后病情无进展、携带生殖系BRCA突变(gBRCAm)的转移性胰腺癌患者!
02、PARP抑制剂:胰腺癌维持治疗的新选择
PARP抑制剂是一种靶向聚ADP核糖聚合酶的癌症疗法。PARP酶参与许多DNA修复过程,特别是与具有致病性BRCA突变的肿瘤与同源重组的缺陷相关。
根据2019年AACR年会上发表的正在进行的II期临床试验的中期分析,聚(ADP-核糖)聚合酶(PARP)抑制剂rucaparib(鲁卡替尼)有望作为晚期,铂敏感,BRCA或PALB2突变的胰腺癌的维持治疗方法。据估计,5-8%的胰腺癌患者BRCA1、BRCA2或PALB2存在致病性突变。
在42例晚期胰腺癌患者中,存在胚系或体细胞BRCA1、BRCA2或PALB2突变,接受了至少4个月的含铂化疗后病情没有进展,然后接受鲁卡替尼维持治疗。
在中期分析的结果显示:
mPFS为278天(9.3月);
所有患者ORR为37.8%;
可评估患者的ORR为41.1%;
8周时的DCR为89.5%。

03、KRAS突变:一剂猛药!AMG510治疗晚期胰腺癌曙光乍现
KRAS突变是最致命的癌症生长和发展的初始驱动遗传因子之一。表现出这种突变的患者通常预后较差,并且对护理标准治疗的抵抗力很差。据统计,KRAS基因突变出现在近:90%的胰腺癌中,30-40%的结肠癌中,15-20%的肺癌中(大多为非小细胞肺癌)。
尽管几十年前研究人员就已经将KRAS确定为癌症的重要治疗靶点,但长期以来人们一直认为它是一种“不可摧毁的”蛋白质。这是因为这种蛋白质缺乏明显的靶点可以让小分子药物可以结合并损害其功能。
KRAS突变会产生连续生长信号,在信号传导途径的链反应中从一种蛋白质传递到下一种蛋白质。

超过六种信号通路来自KRAS,如果一个受损,其他的可以修复或规避它。
这可能是为什么阻断一种KRAS信号通路的药物可以减缓癌细胞的生长,但通常不能杀死它们。
近期,研究发现,KRAS G12C是一种特定的亚突变,是非小细胞肺癌腺癌中最常见的个体KRAS突变,占14%,大肠腺癌占5%,胰腺癌占2%。
KRAS G12C突变频率

经过三十年的研究,AMG 510是第一个达到临床阶段的KRAS G12C抑制剂!
首次人体结果显示KRAS突变实体瘤的初步安全性,耐受性数据和抗肿瘤活性!
FDA批准AMG 510孤儿药物指定用于KRASG12C阳性非小细胞肺癌和结肠直肠癌,在肺癌中20%的KRAS存在G12C突变,AMG510打开了历史性的缺口,也让我们看到了攻破胰腺癌的希望。
除了安进公司的AMG 510外,一种称为羟氯喹的自噬抑制剂和一种阻断MAPK途径中蛋白质的药物trametinib(曲美替尼 Mekinist)一起治疗可以减缓在移植了KRAS- 突变的人胰腺肿瘤的小鼠中肿瘤生长并延长存活时间。

用曲美替尼和羟氯喹治疗移植了胰腺肿瘤的小鼠,结果显示肿瘤一致消退。
这种联合疗法的效果在一位晚期胰腺癌患者身上同样得到了证实,这位患者在手术后,接受了几次化疗,但不幸的是癌症复发并转移了,目前已经没有很好的治疗方案,
Hydroxychloroquine(羟氯喹)和trametinib(曲美替尼)分别被美国食品和药物管理局批准用于治疗疟疾和黑色素瘤。
这名患者接受了 trametinib和hydroxychloroquine治疗,令患者和医生震惊的是,奇迹出现了,2个月内,患者的胰腺癌标志物CA 19-9的血液水平下降了95%。4个月后,他体内的癌症数量减少了50%。对于胰腺癌来说,这是一个非常了不起的反应!

用曲美替尼加羟氯喹(T / HCQ)治疗胰腺癌患者导致肿瘤标志物癌抗原19-9(CA19-9)和总体肿瘤负荷减少。
04、NTRK:总缓解率42%!广谱抗癌药为胃肠道肿瘤患者带来长效缓解
2020年1月23日~1月25日,美国临床肿瘤学会胃肠道肿瘤研讨会(ASCO-GI)的一项数据显示,针对具有特定突变靶点-NTRK融合的传奇抗癌药Vitrakvi(larotrectinib)可以很好地抵抗多种携带突变的胃肠道(GI)癌症。
研究中的14名患者试验结果显示:消化道肿瘤亚组的总缓解率为43%,其中结肠癌患者的总体缓解率为50%。
具体为:
在结肠癌患者中,有4人部分缓解,其他4人病情稳定,没有进一步进展;
1名胰腺癌患者有部分反应,另1名病情稳定;
在2个患有胆管癌的人中,一个有部分反应,而另一位出现疾病进展;
阑尾癌患者有部分反应;
暂时无法确定肝癌患者的反应。

在数据截断时,四名结肠癌患者和一名胰腺癌患者仍然活着,而且病情没有恶化。并且拉罗替尼的安全性和耐受性是良好的。大多数不良反应为1级或2级。
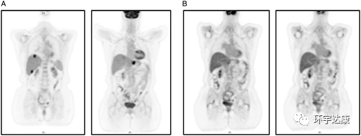
文献中报道了一位61岁的女性被诊断为胰腺导管腺癌,胰腺体内有一个2.5cm的肿块,肝脏有1.2cm的转移病灶,基因检测发现NTRK1基因融合阳性,在接受拉罗替尼治疗后,胰腺和肝脏的病灶都明显缩小。

CT扫描:(A)治疗前(B)拉罗替尼治疗后

PET-CT扫描:(A)治疗前(B)拉罗替尼治疗后
因此如果患者一般状况良好,并且有可能接受治疗,那么进行二代测序[NGS]是值得的,并且应该检测TRK融合。
众多好药在路上,守得云开见月明
我们可以看到,对于这种预后极差的癌症,近年来,新一代基因检测技术已经在肺癌等癌症治疗方面取得了显著的成绩,全球肿瘤专家对于基因检测指导胰腺癌靶向治疗抱有极高的期望,各项临床试验正在全球实验室进行。肿瘤学家们希望通过对大量胰腺癌患者标本的测序,找到胰腺癌患者常见的基因突变,帮助患者找到合适的靶向药物和临床试验。
除了上述研究,还有众多有望延长晚期胰腺癌生存期的药物组合疗法也取得了突破性进展,如Nab-PTX 联合 S-1,白蛋白紫杉醇联合吉西他滨(AG)和FOLFIRINOX序贯治疗转移性胰腺癌,以及胰腺癌疫苗Gvax联合免疫检查点抑制剂等。
众多好药在路上,守得云开见月明,大家要坚定信心,战胜癌王!





























