“治疗肝癌,就得走合理的治疗程序,得到规范的治疗方式。”只要患者对此给予足够重视,合理恰当地寻医问诊,完全可以将肝癌带给我们的恐惧和威胁降到最低。 事实上,随着检测技术和治疗技术的提高,肝癌的五年生存率有了显著提高。
其中立体定向放射治疗是一项可替代手术,对肝脏的恶性与非恶性肿瘤进行非侵入性治疗的技术。立体定向放疗是集立体定位、现代影像技术、计算机技术等一系列新技术为一体的治疗手段,从立体定向放疗到三维适形放疗,从静态调强放疗到图像引导放疗,从断层调强放疗到容积调强放疗, 使得不可手术或不愿手术的癌症患者有了新的选择。
速锋刀(EDGE Radiosurgery系统)是迄今为止最尖端的癌症精准治疗和靶向治疗技术。该技术由美国Varian公司研发, 是迄今为止最有效的无创肿瘤清除技术,利用特有的FDA于2014年7月21日批准的Calypso® GPS for the Body®系统和表面光束监测系统以高达10毫秒的高频率实时动态监测并锁定治疗过程中肿瘤“逃逸”,结合新一代IGRT等影像引导技术,利用独有高达2400MU/min的高强度HD-MLC准直器以亚毫米级的精度几乎不留残余地清除肿瘤组织。
速锋刀(EDGE)治疗巨大肝癌伴脑转移的案例
患者男性,65岁。2014年10月,患者感到腹部不适、头疼。检查和诊断结果为(1)高分化肝细胞癌,大小约10cm,肝硬化明显。(2)脑转移瘤,左枕叶处有大小约3cm的肿块。(3)II型糖尿病,需要胰岛素治疗。(4)慢性肾病;(5)中度高血压,有心衰病史。
患者处于肝癌晚期,肝癌病灶巨大且有脑转移,国内医疗机构不能实施外科手术治疗。经全球肿瘤医生网请意大利humanitas医院专家组远程咨询,患者于2014年11月10日赴意大利进行EDGE速锋刀无创手术治疗。先后对肝脏肿瘤和脑转移瘤进行EDGE治疗,在医院共治疗8天。每个肿瘤每天治疗1次,每次治疗时间约10分钟左右,肝脏肿瘤共治疗6次,脑肿瘤治疗4次。患者手术过程中无任何不适,每次治疗后正常回公寓休息。半年后,患者身体状态良好,体重明显增加。影像检查报告显示肝脏的巨大肿瘤被彻底清除,脑部肿瘤几乎完全消除,且没有复发。生化检查结果表明肝功能未见异常。

肝脏肿瘤治疗前10cm

肝脏肿瘤治疗后完全消除

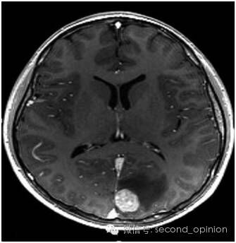
脑转移瘤治疗前3cm

脑转移瘤治疗后基本消失
意大利Humanitas医院被认为是欧洲技术最先进的医院之一,装备有的一代的技术。是目前世界上3家可以提供最先进立体定向放疗手术(SBRT)-速锋刀(EDGE)治疗的医院之一。

由于意大利完善优越的医疗保障系统,就医费用很低,并且意大利的签证比其他国家更容易办理,只需十二个小时既能抵达,意大利气候宜人,景色秀丽,意大利人友好热情,欢迎更多的患去意大利humanitas医院接受国际先进的治疗。
推荐阅读:脑瘤基因检测





























